RTG i Tomografia
Radiologia to jeden z fundamentów nowoczesnej diagnostyki w stomatologii. W przychodni Poddent wykorzystujemy zaawansowane technologie obrazowania, które pozwalają precyzyjnie ocenić stan uzębienia, tkanek kostnych oraz innych struktur twarzoczaszki. Dzięki temu pacjenci mogą liczyć na szybkie, dokładne diagnozy oraz dopasowane do potrzeb plany leczenia.
Każdy zabieg stomatologiczny – od profilaktyki po leczenie implantologiczne – wymaga dokładnej oceny diagnostycznej. Badania radiologii stomatologicznej pozwalają wykryć zmiany niewidoczne gołym okiem, ocenić stopień zaawansowania chorób oraz zaplanować leczenie w sposób optymalny dla pacjenta. W przychodni Poddent w Wieluniu kładziemy szczególny nacisk na nowoczesne i bezpieczne metody obrazowania, które są niezbędnym elementem kompleksowej opieki stomatologicznej.

Radiologia stomatologiczna stanowi nieodłączny element holistycznej opieki nad pacjentem. Dzięki niej możliwe jest precyzyjne rozpoznanie próchnicy, stanów zapalnych, torbieli czy zmian pourazowych w obrębie jamy ustnej i szczęk.
Współczesna stomatologia tak naprawdę nie może funkcjonować bez dokładnych badań obrazowych – każdy zabieg wymaga indywidualnego planu opartego na rzetelnych danych diagnostycznych.
Radiologia stomatologiczna – podstawa diagnostyki
Radiologia stomatologiczna stanowi nieodłączny element holistycznej opieki nad pacjentem. Dzięki niej możliwe jest precyzyjne rozpoznanie próchnicy, stanów zapalnych, torbieli czy zmian pourazowych w obrębie jamy ustnej i szczęk. Współczesna stomatologia tak naprawdę nie może funkcjonować bez dokładnych badań obrazowych – każdy zabieg wymaga indywidualnego planu opartego na rzetelnych danych diagnostycznych. Radiologia pozwala na ocenę położenia zębów, gęstości kości, stopnia resorpcji korzeni czy obecności zmian patologicznych, które nie są widoczne w standardowym badaniu klinicznym.
Dzięki nowoczesnym urządzeniom stosowanym w naszym gabinecie, podczas badań wykorzystuje się minimalne dawki promieniowania, co zwiększa bezpieczeństwo pacjentów, ale jednocześnie nie ogranicza jakości diagnostyki. Nasze procedury radiologiczne umożliwiają planowanie zarówno leczenia próchnicy i zabiegów protetycznych, jak i bardziej skomplikowanych zabiegów chirurgicznych czy implantologicznych. W praktyce oznacza to szybszą diagnozę, terapię dostosowaną do potrzeb oraz większy komfort pacjenta.
Rodzaje badań radiologicznych w przychodni Poddent w Wieluniu
W Poddent w Wieluniu oferujemy pełen wachlarz badań radiologicznych. Wykonujemy zarówno tradycyjne zdjęcia punktowe, jak i zaawansowaną diagnostykę panoramiczną oraz cefalometryczną. Dostępna u nas jest także tomografia komputerowa, która pozwala na szczegółową ocenę struktur anatomicznych twarzoczaszki.
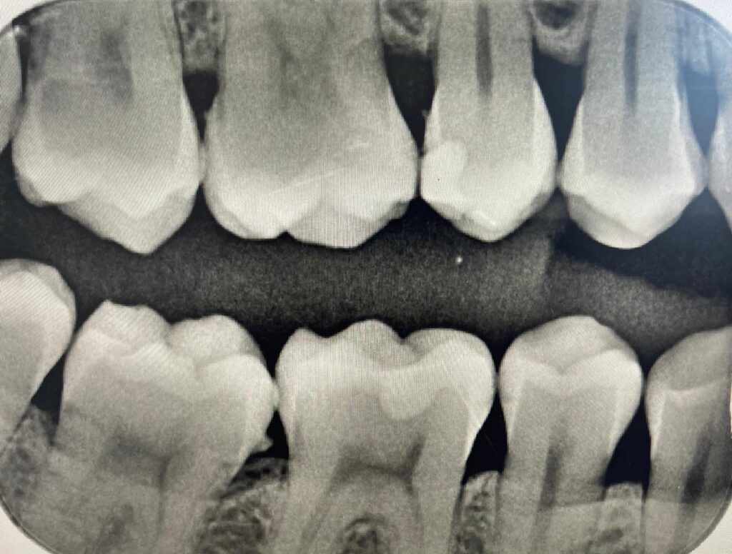
RTG punktowe
RTG punktowe to podstawowe narzędzie diagnostyczne stosowane we współczesnej stomatologii. Pozwala na szybkie i precyzyjne uwidocznienie pojedynczych zębów oraz okolic przyległych struktur kostnych. Dzięki RTG punktowemu lekarz może ocenić obecność ubytków próchnicowych, stan wypełnień, kondycję korzeni oraz wykryć początki stanów zapalnych. To badanie jest niezwykle ważne w planowaniu leczenia endodontycznego czy protetycznego, ponieważ dostarcza szczegółowych informacji niezbędnych do skutecznej terapii. W naszym gabinecie stosujemy najnowocześniejsze urządzenia cyfrowe, które gwarantują wysoką jakość obrazu przy minimalnej ekspozycji na promieniowanie, co czyni badanie nie tylko dokładnym, ale i bezpiecznym dla pacjenta. RTG punktowe w Poddent to szybka diagnostyka, komfort oraz pełna precyzja w planowaniu leczenia.

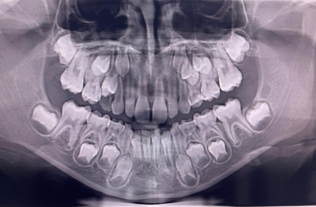
Zdjęcie pantomograficzne
Zdjęcie pantomograficzne – określane również mianem panoramy – umożliwia kompleksową ocenę całej jamy ustnej w jednym ujęciu. Uwidacznia zarówno górny, jak i dolny łuk zębowy, struktury kości szczęk, zatoki szczękowe oraz stawy skroniowo-żuchwowe. Jest niezastąpione w planowaniu leczenia ortodontycznego, implantologicznego czy chirurgicznego, ponieważ dostarcza pełnego obrazu układu stomatognatycznego. W przychodni Poddent zdjęcia pantomograficzne wykonujemy przy użyciu cyfrowych aparatów nowej generacji, co zapewnia wyraźny obraz przy niskiej dawce promieniowania i maksymalnym komforcie pacjenta. To badanie pozwala naszym specjalistom podejmować trafne decyzje diagnostyczne i terapeutyczne, zwiększając skuteczność leczenia.

Zdjęcie cefalometryczne
Zdjęcie cefalometryczne to badanie rentgenowskie wykorzystywane głównie w ortodoncji i chirurgii szczękowo-twarzowej. Pozwala na ocenę relacji między zębami, kośćmi szczęki i żuchwy. Jest nieocenione przy diagnozie wad zgryzu, planowaniu leczenia aparatami ortodontycznymi oraz przed zabiegami chirurgicznymi. Dzięki dokładnym pomiarom i precyzyjnemu odwzorowaniu struktur kostnych, nasi lekarze dentyści mogą tworzyć indywidualne plany leczenia, minimalizując ryzyko komplikacji oraz maksymalizując efekty estetyczne i funkcjonalne.

Tomografia komputerowa
Tomografia komputerowa 3D to najbardziej zaawansowana metoda diagnostyczna dostępna w stomatologii. Umożliwia trójwymiarową ocenę kości, zębów, kanałów nerwowych oraz innych struktur anatomicznych twarzoczaszki. Badanie jest szczególnie przydatne przy planowaniu wszczepienia implantów, skomplikowanych zabiegów chirurgicznych, ocenie urazów czy zmian patologicznych. W Poddent w Wieluniu dysponujemy nowoczesnym urządzeniem do tomografii komputerowej, które pozwala uzyskać niezwykle precyzyjne obrazy przy zachowaniu minimalnej dawki promieniowania, co czyni badanie bezpiecznym dla pacjenta. Tomografia komputerowa w naszej klinice to inwestycja w bezpieczeństwo, dokładność diagnostyki i długoterminową skuteczność leczenia.

Badania radiologiczne w Poddent – dlaczego warto?
Nowoczesne badania radiologiczne w przychodni Poddent przynoszą pacjentom szereg korzyści, dzięki którym diagnostyka i leczenie stają się bardziej skuteczne, precyzyjne oraz komfortowe.
Precyzyjna diagnostyka
Dzięki zastosowaniu najnowszych urządzeń stomatolodzy w Poddent mogą precyzyjnie zobrazować wszelkie zmiany w obrębie zębów, korzeni, kości szczęk oraz struktur stawowych. To pozwala na wczesne wykrywanie próchnicy, stanów zapalnych czy zmian patologicznych – zanim pojawią się objawy kliniczne. Precyzyjna diagnostyka minimalizuje ryzyko powikłań i daje dentystom pełen obraz sytuacji, umożliwiając skuteczne leczenie.
Bezpieczeństwo pacjenta
Wszystkie badania wykonywane są przy minimalnej dawce promieniowania, co sprawia, że są bezpieczne zarówno dla dorosłych, jak i dzieci. Nowoczesne technologie cyfrowe ograniczają ekspozycję, jednocześnie zachowując wysoką jakość obrazu, dzięki czemu pacjent otrzymuje pełną informację diagnostyczną bez ryzyka dla własnego zdrowia.
Kompleksowe planowanie leczenia
Obrazowanie radiologiczne w Poddent pozwala lekarzom stomatologom planować zabiegi w sposób indywidualny i kompleksowy. Od leczenia kanałowego, przez zabiegi implantologiczne, po ortodoncję i chirurgię szczękową – każda decyzja opiera się na dokładnych danych obrazowych. Dzięki temu leczenie jest przewidywalne, skuteczne i dopasowane do potrzeb pacjenta, a ryzyko powikłań – minimalizowane.
Komfort i wygoda pacjenta
Wszystkie badania wykonywane są w nowoczesnej i przyjaznej przestrzeni przychodni, w szybkim i bezbolesnym trybie. Cyfrowe urządzenia umożliwiają niemal natychmiastową analizę wyników, dzięki czemu pacjent od razu otrzymuje pełną informację diagnostyczną i może omówić plan leczenia z dentystą. To sprawia, że wizyta staje się komfortowa, bez stresu i niepotrzebnego oczekiwania.
Dzięki tym zaletom pacjenci Poddent zyskują pełną kontrolę nad swoim zdrowiem jamy ustnej, mają pewność trafnej diagnozy i mogą liczyć na bezpieczne, skuteczne leczenie dostosowane do indywidualnych potrzeb.
Skontaktuj się z nami
Jesteśmy do Twojej dyspozycji. Zadzwoń lub napisz — chętnie odpowiemy na wszystkie pytania dotyczące leczenia.

